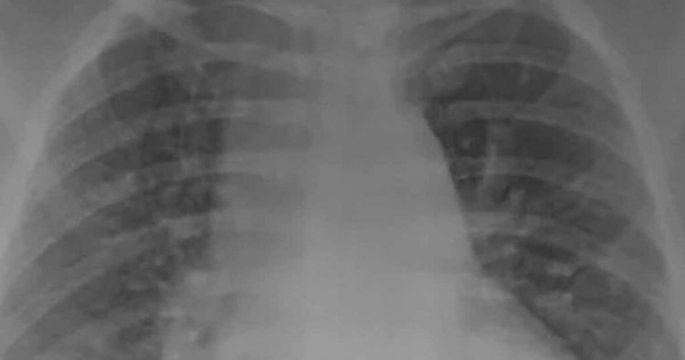
Dr Ghassan Kamel zajmujący się chorymi na COVID-19 w SSM Health Saint Louis University Hospital w Missouri, postanowił pokazać w jaki sposób działają szczepionki na nasze płuca. To zdjęcie RTG przedstawia płuca osób chorujących na COVID-19. Zasadnicza różnica jest taka, że jeden z pacjentów jest zaszczepiony, drugi natomiast nie.
Czytaj też: Skandal! Ujawniono miażdżący fakt o Tusku. Nikt się tego nie spodziewał
To już kolejna próba zachęcenia ludzi do przyjmowania szczepionek. Amerykański lekarz postanowił wszystkim pokazać jak wyglądają płuca osoby zaszczepionej, która zachorowała na COVID-19 orazosoby która również zachorowała, ale preparatu nie przyjęła. Różnica jest naprawdę spora. Na zdjęciu RTG osoby, która nie przyjęła preparatu widoczne są duże zmiany.
Zdjęcie RTG przedstawia płuca osoby zaszczepionej i niezaszczepionej
Ten mleczny cień widoczny na zdjęciu RTG oznacza zmętnienie płuc co oznaczać może bardzo ciężki przebieg choroby oraz możliwość wystąpienia również innych dolegliwości wymagających opieki lekarskiej.Zazwyczaj pacjent z takimi zmianami ma problemy z oddychaniem. Tacy również najczęściej potrzebują respiratora w przebiegu choroby.
/zobacz także: Tirówka powiedziała, że za 200 zł spełni każde życzenie. To co kazał jej zrobić kierowca stało się hitem
Zdjęcie osoby która przyjęła szczepionkę na COVID-19 nie widać żadnych większych zmian. Amerykański doktor jest przekonany o swojej racji i zachęca wszystkich, którzy się jeszcze nie zaszczepili do tego aby to zrobili.
„Mogą wymagać respiratora lub zostać zaintubowani i zasadniczo podtrzymywania życia. Jeśli nie lubisz nosić maski to z pewnością nie spodoba ci się respirator” – przekazuje Kamel dla stacji KSDK.

Źródło: Webniusy, KSDK
Polecamy również:
Cichopek zrobiła to specjalnie! Odsłoniła stanowczo za dużo
Przełom w sprawie Turowa? Tego nikt się nie spodziewał!
Panowie lepiej usiądźcie! Wieniawa pokazała gorące zdjęcia
Tusk i Kaczyński przerażeni. Mafiozo ujawnił całą prawdę sprzed lat
Nie żyje polityk PSL, zmarł na COVID-19
Julia Wieniawa wyznała prawdę – jest poważnie chora. Ostrzega innych
Doda pijana? Opublikowała erotyczny filmik! Ludziom opadły szczęki











